
Aliando a experiência clínica com os conhecimentos acadêmicos
Cursos teóricos e práticos em ambiente planejado
Atividades práticas laboratoriais com hands on de procedimentos clínicos
Prof Luís Felipe Sá Caye
Em breve mais informações
Prof Sânzio Borges |
Dias 29 e 30 de agosto.
Prof Luís Felipe Sá Caye
Em breve mais informações.
Proª Dra Daiana Back Gouvea
Em breve mais informações.
Prof Dr Lucas Silveira Machado
Dia 29 de novembro de 2025
Prof Dr Eliseu Aldrighi Münchow
Dias 31-10 e 01-11 de 2025
Prof Dr Humberto T Gassen
Em breve mais informações
Prof Me Fábio Festugato
Em breve mais informações
Prof Luís Felipe Sá Caye
Em breve mais informações
Prof Dr Rafael Melara
Dias 03 e 04 de outubro / 2025.
Prof Luís Felipe Sá Caye
Em breve mais informações
Arquiteta Lilia Pires
Em breve mais informações!
Prof Antônio Sobral
Em breve mais informações
Prof Dr Pedro Duarte
Em breve mais informações
Prof Luís Felipe Sá Caye
Em breve mais informações
Prof Sá Caye | Prof Humberto
Em breve mais informações
Profª Dra Clarissa Parolo
Em breve mais informações
Estrutura planejada para o seu desenvolvimento técnico e para aprimorar a sua gestão de consultório ou clínica!
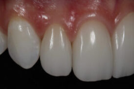
Curso de reabilitação oral unindo procedimentos de prótese dentária, dentística e implantodontia. Visa capacitar o dentista a realizar tratamentos reabilitadores desde os casos unitários até os tratamentos de maior complexidade, restaurando a função e a estética bucal. A programação dos módulos incluem a teoria e a prática, com foco em diagnóstico, em planejamento e na execução de práticas em hands on, unindo os procedimentos das 3 especialidades: Prótese Dentária, Dentística e Implantodontia. O curso é ministrado pelo Prof Luís Felipe Sá Caye (Especialista em Prótese Dentária/ Dentística e Implantodontia).
Ambiente moderno e acolhedor, um ótimo local para compartilhar conhecimentos e trocar experiências!
"Adorei a estrutura moderna, será muito bom realizar cursos aqui!"
"Sou estudante de odontologia, já quero entender melhor minha futura profissão."
"Expectativa alta, no aguardo dos cursos!"
"Quero testar novos materiais, e ver procedimentos de outra especialidades também!"